Disertācijas pētījums par faktoriem, kas ietekmē resnās zarnas vēža attīstību un izplatību
Resnās zarnas vēzis ir viens no ļaundabīgajiem audzējiem, kam raksturīga plaša izplatība un augsta pacientu mirstība, pat neskatoties uz agrīnas diagnostikas iespējām un plašo terapijas izvēli.
Viens no faktoriem, kas var ietekmēt ļaundabīgu audzēju progresiju, ir iekaisums, kas sekmē audzēja šūnu augšanu, jaunu asinsvadu veidošanos un invāziju apkārtējos audos. Iekaisuma šūnu izdalītās bioloģiski aktīvās vielas sekmē audzēja šūnu pārveidošanos, tām iegūstot mezenhimālām šūnām raksturīgās īpašības, ko dēvē par epiteliāli mezenhimālo transformāciju. Patoloģijā šo procesu raksturo audzēja šūnu virsmā lokalizētie antigēni CD44, E-kadherīns, N-kadherīns, B-katenīna un citi.
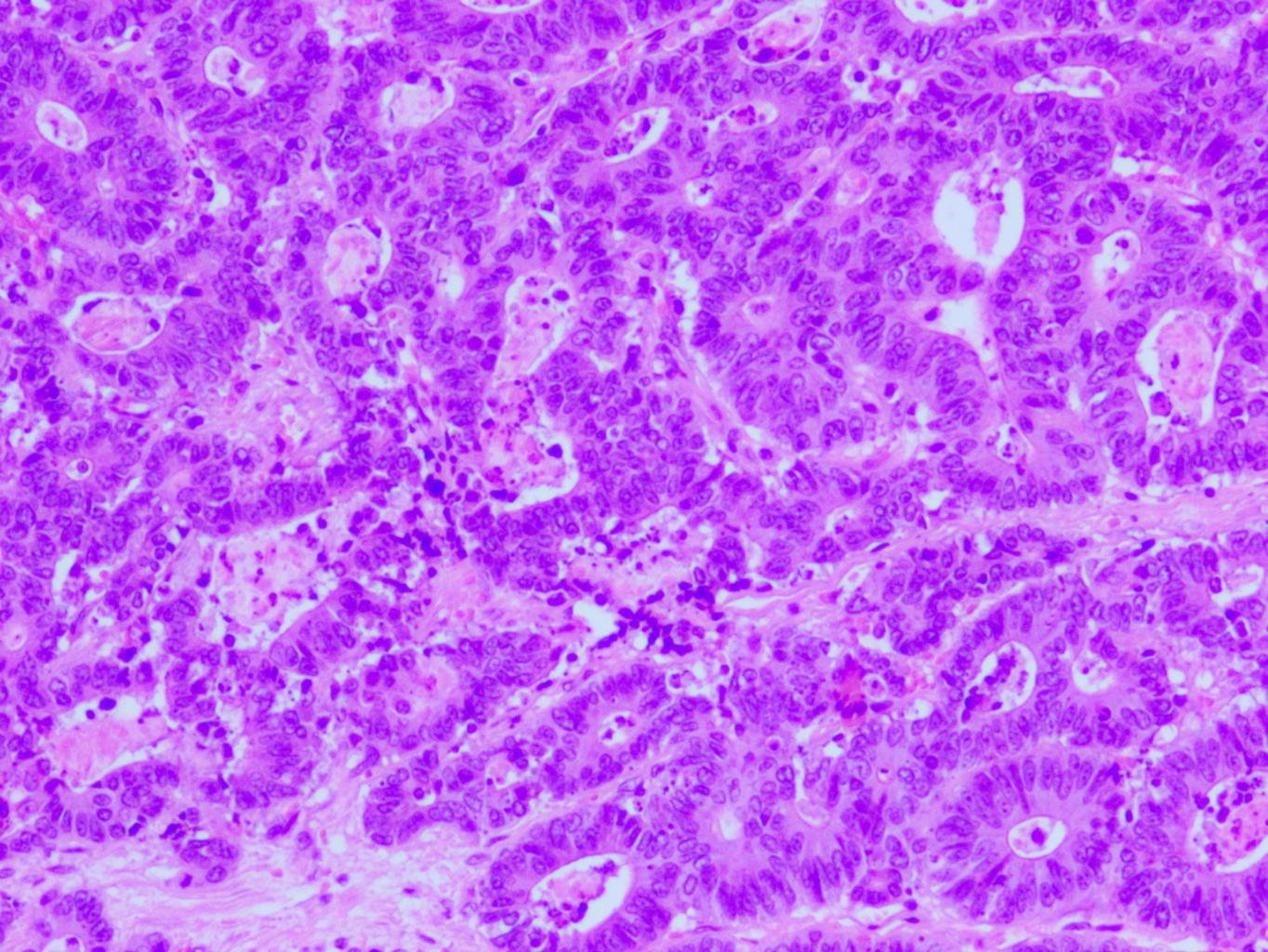
Resnās zarnas adenokarcinoma hematoksilīna eozīna krāsojumā. Foto: Inese Briede
Ineses Briedes disertācijas pētījuma mērķis bija raksturot lokālu iekaisumu resnās zarnas vēža audos un tā nozīmi audzēja progresijā un saistību ar epiteliāli mezenhimālo transformāciju, kā arī DNS labotājgēniem raksturojošajiem morfoloģiskajiem un imūnhistoķīmiskajiem parametriem.
Pētījumā tika analizēti 553 resnās zarnas vēža gadījumi, izvērtēti morfoloģiskie prognostiskie kritēriji, kā arī veikta imūnhistoķīmiska paraugu analīze, atklājot līdz šim neaprakstītas saistības starp audzēja cilmes šūnām, epiteliāli mezenhimālo transformāciju un iekaisumu cilvēka resnās zarnas vēža audos. Šis pētījums arī norāda uz imūnās sistēmas, respektīvi, eozinofilo leikocītu iespējamo nozīmi pretaudzēja imunitātē.
Darba vadītāji: RSU prof. Jānis Gardovskis un RSU prof. Ilze Štrumfa.
Ineses Briedes promocijas darba Association of Epithelial Mesenchymal Transition, Stemness and Inflammation in Colorectal Carcinoma (Epiteliāli mezenhimālas transformācijas, iekaisuma un cilmes šūnu diferenciācijas saistība kolorektālā vēzī) aizstāvēšana notiks 2022. gada 13. decembrī.
Plašāka informācija
