Pētījums par akūta išēmiska insulta radioloģisko diagnostiku un aktīvas ārstēšanas iespējām
18. jūnijā Rīgas Stradiņa universitātes (RSU) Klīniskās medicīnas promocijas padomes atklātajā sēdē (Rīgā, Dzirciema ielā 16, Hipokrāta auditorijā) Arturs Balodis aizstāvēs promocijas darbu Cerebrāla infarkta agrīnas attēldiagnostikas un reperfūzijas taktikas saistība ar radioloģisko un klīnisko iznākumu.
Akūts cerebrāls infarkts jeb išēmisks insults ir viens no galvenajiem nāves un ilgstošas invaliditātes cēloņiem pasaulē. Išēmiska insulta ārstēšanā izšķirīga nozīme ir laikam no simptomu parādīšanās brīža līdz efektīvai ārstēšanai.
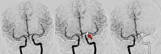
Kopš 2016. gada endovaskulāra trombektomija ir apstiprināta kā pirmās izvēles metode pacientiem ar išēmisku insultu un lielo cerebrālo artēriju oklūziju priekšējās cirkulācijas teritorijā, ja kontrindicēta intravenoza trombolīze. Šis pētījums veltīts līdz šim pietiekami neizpētītiem jautājumiem: atsevišķu ārstēšanas metožu salīdzinājumam, salīdzinot rezultātus ar kombinētas terapijas grupu (intravenoza trombolīze, kurai seko endovaskulāra trombektomija). Pētījumā vērtēti radioloģiski diagnostiskie kritēriji (piemēram, kolaterālā asinsapgāde, oklūzijas vieta, insulta plašums), kas varētu palīdzēt pacientu atlasē aktīvai ārstēšanai un sasniegt pēc iespējas labāku vēlīno klīnisko iznākumu.
Darba mērķis bija izvērtēt akūta išēmiska insulta multimodālas datortomogrāfijas diagnostikas un aktīvas ārstēšanas taktikas saistību ar radioloģisko un klīnisko iznākumu. Pētījumā tika iekļauti 288 pacienti ar akūtu išēmisku insultu pacientiem ar lielo cerebrālo asinsvadu oklūziju.
Pētījumā konstatēts, ka labam klīniskajam un radioloģiskajam iznākumam vitāli svarīga ir pacientu mērķtiecīga atlase, izmantojot tādus kritērijus kā kolaterāļu raksturojumu, potenciāli glābjamo smadzeņu audu apjomu, laiku līdz rekanalizācijai. Rezultāti arī parādīja, ka klīniskais iznākums būtiski neatšķīrās starp pacientu grupām priekšējās cirkulācijas teritorijā, salīdzinot izolētas trombektomijas vai kombinētas terapijas grupas, taču šo grupu rezultāti bija viennozīmīgi labāki nekā izolētai intravenozai trombolīzei. Savukārt pacientiem ar išēmisku insultu mugurējās cirkulācijas teritorijā kombinēta terapija uzrādīja labākus rezultātus nekā izolēta trombektomija.
Pētījuma ietvaros izstrādātas rekomendācijas akūta cerebrāla infarkta aktīvai ārstēšanai pacientiem ar lielo cerebrālo artēriju oklūziju kā arī definēts rīcības algoritms.


Saistītās ziņas
Izaugsme jaunā līmenī. Šūnu un audu kultūru laboratorija paplašinās un īsteno nozīmīgus pētījumusKonsolidācija, Pētniecība