Disertācijas pētījums par gēniem un gēnu proteīniem dažādu sejas šķeltņu skartos audos
Sejas šķeltnes ir iedzimtas sejas attīstības anomālijas, kas rodas, nepilnīgi saaugot sejas krokām pirms piedzimšanas. Šķeltnes var būt vienpusējas vai divpusējas, un tās var skart mutes dobuma gļotādas audus, veidojot lūpu un aukslēju šķeltnes.
Sejas šķeltņu veidošanās tiek saistīta ar šķeltņu gēniem, kuru veidotie proteīni regulē sejas apvidus audu augšanu un veidošanos, bet šo gēnu iesaiste sejas šķeltņu veidošanās procesā ir relatīvi neskaidra un nav sevišķi pētīta cilvēka audos.
Disertācijas pētījuma mērķis bija noteikt gēnu un gēnu proteīnu sadalījumu un to relatīvo daudzumu dažādu sejas šķeltņu skartos audos.
Šī informācija potenciāli varētu sniegt labāku priekšstatu par šķeltņu veidošanos cilvēkiem, un tas nākotnē varētu ļaut uzlabot pieejamās šķeltņu ārstēšanas un profilakses metodes.
Pētījumā ar imūnhistoķīmijas metodi tika novērtēta BarH-līdzīgā homeoboksa-1 (BARX1), mazāk distālā homeoboksa-4 (DLX4), dakšas galvas boksa E1 (FOXE1), homeoboksa B3 (HOXB3), muskuļu segmentu homeoboksa-2 (MSX2), pāra boksa transkripcijas faktora-7 (PAX7), pāra boksa transkripcijas faktora-9 (PAX9), receptoram līdzīgās tirozīnkināzes (RYK), Sonic hedgehog (SHH), SRY boksa transkripcijas faktora-3 (SOX3), bezspārnu tipa MMTV integrācijas vietas proteīna-3A (WNT3A) un bezspārnu tipa MMTV integrācijas vietas proteīna-9B (WNT9B) imūnpozitīvo struktūru relatīvais daudzums. Šie šķeltņu gēnu veidotie proteīni regulē noteiktus sejas apvidus attīstības aspektus ne tikai šķeltnēs, bet arī veselos mutes dobuma gļotādas audos, vai nu veicinot, kavējot vai modificējot epitēlijaudu un saistaudu augšanu. Šo gēnu darbības traucējumi tiek saistīti ar sejas šķeltņu attīstību cilvēkiem.
Pētījuma rezultāti liecina, ka veselos mutes dobuma audos visvairāk bija atrodamas WNT9B, WNT3A, SOX3 saturošas šūnas, vidēji daudz – SHH, PAX7, HOXB3, FOXE1, mazāk – PAX9, DLX4, RYK, bet nemaz – BARX1 un MSX2. Savukārt šķeltnes skartos audos raksturīgs BARX1 un MSX2 pieaugums, bet samazinājums raksturīgs SOX3, WNT3A un WNT9B. Vienpusēju šķeltni vairāk raksturo BARX1, FOXE1, HOXB3 un PAX7 izteiktāka atradne, kas norāda uz šūnu atjaunošanās potenciāla palielināšanos. Divpusēju šķeltni, ko uzskata par klīniski smagāku šķeltnes veidu, raksturo DLX4 un PAX9 palielinājums un SHH samazinājums, kas liecina par šo faktoru funkcionālo nozīmi tieši divpusējas šķeltnes skartos audos. Pētījumā noteikts, ka visus pētītos šķeltņu veidus (vienpusēju, divpusēju un aukslēju šķeltni) raksturo MSX2 un RYK pieaugums, bet SOX3, WNT3A un WNT9B samazinājums audos.

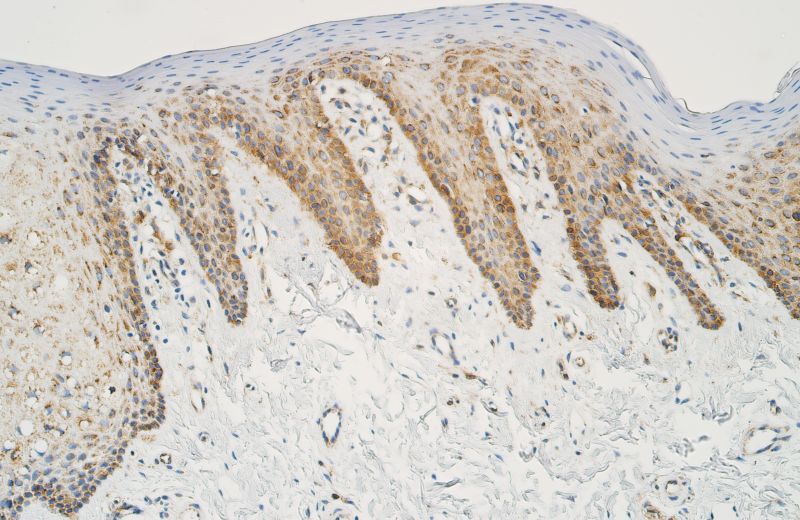
Vidēji daudz līdz daudz Sonic hedgehog (SHH) pozitīvu epitēlijšūnu pacientam ar caurejošu divpusēju lūpas, alveolārā izauguma un aukslēju šķeltni. Audi iegūti lūpas plastikas laikā. SHH imūnhistoķīmija (× 200). Attēls no Mārtiņa Vaivada disertācijas
Mārtiņa Vaivada promocijas darba Gēni un gēnu proteīni dažādu sejas šķeltņu skartos audos aizstāvēšana notiks 2023. gada 14. decembrī. Plašāka informācija
