22. novembrī norisinājās Rīgas Stradiņa universitātes (RSU) Studējošo pašpārvaldes valdes vēlēšanas, kurās tika ievēlēta jaunā 2024. gada RSU Studējošo pašpārvaldes valde.
Ko un kā mēs stāstām par klimata pārmaiņām? Ko un kā citi – politiķi, dabas draugi, uzņēmēji un lauksaimnieki – stāsta mums? Rīgas Stradiņa universitātes (RSU) zinātnieku pētījumā No vienaldzības līdz pārmaiņām klimata politikā: politiskā naratīva un sabiedrības uztveres mijiedarbības uzlabošana Latvijā atklājies, ka tas, ko stāsta politiķi, sabiedrībai nav ne saprotams, ne svarīgs un otrādi – politiskajā komunikācijā maz parādās sabiedrību interesējoši klimata pārmaiņu aspekti, piemēram, fakts, ka 45 % Latvijas sabiedrības rūp vides un dabas saglabāšana.
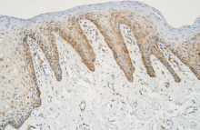
Sejas šķeltnes ir iedzimtas sejas attīstības anomālijas, kas rodas, nepilnīgi saaugot sejas krokām pirms piedzimšanas. Šķeltnes var būt vienpusējas vai divpusējas, un tās var skart mutes dobuma gļotādas audus, veidojot lūpu un aukslēju šķeltnes.
Sejas šķeltņu veidošanās tiek saistīta ar šķeltņu gēniem, kuru veidotie proteīni regulē sejas apvidus audu augšanu un veidošanos, bet šo gēnu iesaiste sejas šķeltņu veidošanās procesā ir relatīvi neskaidra un nav sevišķi pētīta cilvēka audos.
No 26. līdz 28. oktobrim norisinājās Rīgas Stradiņa universitātes (RSU) Ārvalstu studentu asociācijas (ĀSA) jaunās valdes vēlēšanas.
Par ĀSA prezidenti 2024. gadā tika ievēlēta Bárbara N. Silva. Līdz šim viņa bija asociācijas akadēmiskā virziena vadītāja.
Ņemot vērā pašreizējos notikumus pasaulē un to netiešo ietekmi arī uz Latvijā dzīvojošo cilvēku emocionālo pašsajūtu, vebināra temats var būt aktuāls arī RSU studējošo un darbinieku vidū.
RSU Medicīnas izglītības tehnoloģiju centrs ir vienīgais simulācijas centrs Latvijā un lielākais Baltijā, kur vienuviet ir atbilstoša infrastruktūra un aprīkojums, lai nodrošinātu prasmju apguvi un pilnveidi, kā arī simulācijas programmu īstenošanu dažādās veselības aprūpes nozarēs. Ceturtdien, 7. decembrī, centrs svinēs 10 gadu jubileju.
14. decembrī aicinām interesentus piedalīties starpnozaru pasākumā HealthTech 2023, lai uzzinātu par aktuālajiem digitalizācijas risinājumiem medicīnas nozarē, kā arī definētu nozares problēmjautājumus.
2024. gada februārī Latvijā trešo reizi norisināsies skolēnu olimpiāde Latvian Brain Bee, ko organizē Neiroloģijas attīstības fonds, Rīgas Stradiņa universitātes (RSU) Neiroloģijas un neiroķirurģijas studentu zinātniskais pulciņš sadarbībā ar RSU Jauno mediķu akadēmiju.




