2. decembrī izstādes MedBaltica '22 laikā norisinājās nozīmīgs notikums Latvijas stomatologu dzīvē – Latvijas Zobārstu asociācijas konference, kuras laikā vairākiem ilggadējiem zobārstiem tika pasniegta Kārļa Barona balva par ieguldījumu zinātniskajā, pedagoģiskajā un praktiskajā darbā zobārstniecībā. Balvas laureātu vidū ir arī ilggadējā Rīgas Stradiņa universitātes Zobārstniecības fakultātes profesore Ingrīda Čēma, kurai tika pasniegts diploms par ieguldījumu zinātnē un izglītībā.
Rīgas Stradiņa universitātes (RSU) Anatomijas muzejs ir vienīgais Latvijas muzejs, kas šogad ticis nominēts Eiropas Muzeju gada balvai. Par šo Eiropā vissenāko un visprestižāko nozares balvu šoreiz sacentīsies 33 muzeji no dažādām valstīm.
Latvijā ir nepietiekams skaits speciālistu, kas būtu sagatavoti kompleksi analizēt un atpazīt darījumu riskus, veikt prevenciju vai izmeklēt noziedzīgus nodarījumus ekonomiskajā drošībā. Tāpēc Rīgas Stradiņa universitāte (RSU) kopīgi ar Daugavpils Universitāti ir izstrādājusi profesionālā maģistra studiju programmu Ekonomiskā drošība.
Trešdien, 14. decembrī, pulksten 15 aulā norisināsies RSU darbinieku un studentu Ziemassvētku koncerts Sajūti Ziemassvētkus!
Koncertā uzstāsies Rīgas Doma kora skolas gospeļkoris.
20. decembrī plkst. 17.30 Baltijas-Vācijas Augstskolu birojā (Z. A. Meierovica bulvārī 12, Rīgā) notiks zinātniskais vakars Valsts un ģimene – viens veselums vai pretmeti?.
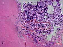
Multiplā mieloma ir salīdzinoši reti sastopama slimība, kas veido aptuveni 1 % no visiem onkoloģiskajiem saslimšanas gadījumiem un 13 % no visiem hematoloģiskajiem audzējiem. Pēdējos gados pieaugusi saslimstība ar šo ļaundabīgo neoplāziju gan Eiropā, gan Latvijā.
Multiplās mielomas diagnostikā izmanto vairākus testus: seroloģiskos, radioloģiskos, citoloģiskos, patohistoloģiskos un laboratoriskos, kas ārstiem ne tikai palīdz diagnosticēt multiplo mielomu, bet arī noteikt ārstēšanas taktiku un efektivitāti.
5. decembrī sākās 10.–12. klašu skolēnu pieteikšanās neirozinātnes olimpiādei Smadzeņu bite (Latvian Brain Bee), ko organizē Neiroloģijas attīstības fonds, Rīgas Stradiņa universitātes (RSU) Neiroloģijas un neiroķirurģijas studentu zinātniskais pulciņš sadarbībā ar RSU Jauno mediķu akadēmiju. Tā notiks nākamā gada 25. februārī, un Latvijā tā tiks organizēta jau otro reizi.
Sacensības mērķis ir skolēnu vidū popularizēt neirozinātnes un smadzeņu slimību atpazīšanu sabiedrībā.
RSU Doktorantūras skola piedāvā interesentiem apmeklēt konsultāciju un nodarbību par zinātnē lietotās angļu valodas mutvārdu un rakstiskajiem jautājumiem pārrunu formā ar atsevišķiem uzdevumiem.




