Covid-19 infekcijas klīniskās, bioķīmiskās, imūnģenētiskās paradigmas, un to korelācija ar sociāli demogrāfiskiem, etioloģiskiem, patoģenētiskiem, diagnostiskiem, terapeitiski un prognostiski nozīmīgiem vadlīnijās iekļaujamajiem faktoriem
Mērķis
Apraksts

Projekta struktūra ir balstīta uz vienpadsmit darba grupām (DP1–DP11) un projekta administratīvi koordinējošo vienību (DP1) tajā skaitā. Projekta darba grupās DP1–DP7 un DP11 galvenokārt ir iesaistīti zinātnieki no Rīgas Stradiņa universitātes (RSU). Projekta sadarbības partneri: Latvijas Universitāte (LU) un Latvijas Biomedicīnas studiju un pētījumu centrs (LBMC) atbild par DP8 un DP9, DP10 darba uzdevumu izpildi projekta mērķu sasniegšanai. Katra atsevišķā mūsu projekta zinātnieku darba grupa darbojas kā autonoma zinātniskā vienība, vienlaikus cieši sadarbojoties ar pārējām.
- DP1 – Projekta koordinācijas grupa
Grupas vadītāja: prof. Ludmila Vīksna
- DP2 – Klīniskā grupa
Grupas vadītāja: prof. Ludmila Vīksna
Grupas uzdevums: pacientu iesaiste, sociodemogrāfisko un klīnisko datu ieguve, Covid-19 seku izvērtēšana, vadlīniju izstrāde.
Projekta sasniegumi
Lai noskaidrotu Covid-19 slimības izpausmi, tika veikta 250 hospitalizētu Covid-19 pacientu medicīniskās dokumentācijas analīze. Pētījuma ietvaros bija noteikti simptomi, ar kuriem Covid-19 slimība izpaužas, saslimušo cilvēku sociāli demogrāfiskie rādītāji un blakusslīmības. Datu analīze parādīja, ka Covid-19 slimības laikā var būt ne tikai plaušu bojājums (pneimonija), bet arī aknu, sirds un nieru darbības traucējumi un bojājumi. Pacientiem ar smagu Covid-19 norisi, jau iestājoties stacionārā (vidēji 7. slimības diena), novēro izteiktāku iekaisumu, audu bojājumu un zemāku skābekļa daudzumu asinīs nekā pacientiem ar vieglāku slimības norisi.
Pētījuma ietvaros bija vērtētas iespējamās Covid-19 seku parādības. Šim nolūkam tika izmeklēti 58 pacienti trīs un vairāk mēnešus pēc pārslimota Covid-19 bez iepriekš zināmajām blakusslimībām. Pētījumā bija iekļauti gan pacienti, kuri ārstējušies stacionārā ar vidēji smagu un smagu slimības norisi, gan arī pacienti ar vieglu Covid-19 norisi, kuri akūtajā periodā ārstējušies ambulatori, ģimenes ārsta uzraudzībā. Visi pētījuma dalībnieki bija anketēti, objektīvi izmeklēti, pacientiem veikta asins un urīna izmeklēšana, kā arī radioloģiskie izmeklējumi.
Pētījuma datu apkopojums parādīja, ka lielākajai daļai Covid-19 pacientu saglabājas dažādas sūdzības trīs un vairāk mēnešus pēc akūtā slimības perioda. Simptomi, par kuriem ziņoja pacienti, bija nogurums, zemāka izturība pret fiziskām slodzēm, pastiprināta matu izkrišana. Vairāki pacienti atzīmēja sūdzības, kas var atteikties uz elpošanas sistēmas orgānu bojājumu (klepus, smaguma un dedzināšanas sajūta krūtīs, elpas trūkums) un sirds asinsvadu sistēmas darbības traucējumiem (sirds ritma traucējumi, sirdsklauves, paaugstināts asinsspiediens). Nereti tika atzīmēti atmiņas traucējumi, grūtības koncentrēties, iegaumēt jaunu informāciju, miega traucējumi, galvas reiboņi vai galvassāpes, kuras nav bijušas pirms Covid-19. Nelielai pacientu daļai ir bijušas panikas lēkmes, nomāktības sajūta. Dažiem pacientiem bija svara izmaiņas (gan svara pieaugums, gan samazinājums).
Laboratorijas rezultāti atklāja izmaiņas aknu rādītājos; atsevišķām personām ir konstatēti nedaudz palielināti sirds un asins recēšanas rādītāji. Imunoloģisko marķieru izvērtēšana atklāja izmaiņas imūnšūnu skaitā. Apmēram 6 % no pacientiem izmaiņas T limfocītu skaitā var liecināt par imūndeficīta stāvokli. Radioloģiskie izmeklējumi daļai pacientu atklāja izmaiņas plaušās (piem., pastiprinātu saistaudu veidošanās), kas saglabājās pēc pārslimotas vīrusa pneimonijas, daļai pacientu bija konstatētas novirzes aknu parametros. Lai precīzāk izvērtētu Covid-19 sekas, ir nepieciešams ilgstošāks pacientu veselības stāvokļa novērojums.
Darba grupa kopā ar pieaicinātiem konsultantiem ir izstrādājusi Covid-19 diagnostiskas un ārstēšanas vadlīnijas. Vadlīnijas ir sagatavotas, pamatojoties uz projektā iegūtām atziņām, citu pētījumu informāciju un PVO, Eiropas Savienības un ASV ieteikumiem. Vadlīnijas ir paredzētas visiem ārstiem, kuri ir iesaistīti Covid-19 pacientu aprūpē (diagnostika, statistika, ārstēšana utt.). Mērķa grupa ir arī studenti un ārsti rezidenti. Ir paredzēts, ka vadlīnijās regulāri tiks veikti atjauninājumi saskaņā ar PVO un citu organizāciju ieteikumiem.
Grupas komanda
- DP3 – Virusoloģijas grupa
Darba grupas nosaukums: SARS-CoV-2 infekcijas īpašības COVID-19 pacientiem Latvijā
Grupas vadītāja: asoc. prof. Modra Murovska
Grupas uzdevums: SARS-CoV-2 vīrusa transmisiju ceļu noteikšana, vīrusspecifisko antivielu veidošanās dinamikas novērtēšana.
Projekta sasniegumi
Ir izpētīta vīrusspecifisko antivielu veidošanās dinamikā. Pirmās ir IgM klases antivielas, kas parādās, reaģējot uz sākotnējo antigēna iedarbību, kam seko IgA un vēlāk parādās arī IgG klases antivielas. Aptuveni divas nedēļas pēc infekcijas IgA un IgG klases antivielas sasniedz vienādu līmeni, vēlāk IgA antivielu titri mazinās, savukārt IgG antivielu titri uzrāda tendenci samazināties pēc diviem mēnešiem. Daļai pacientu (~10 %) antivielas neatrod vispār. Ir izdarīti secinājumi par antivielu testu pielietošanu SARS-CoV-2 infekcijas skrīningam.
Ir noteikta SARS-CoV-2 klātbūtne un slodze dažādos COVID-19 pacientu bioloģiskajos materiālos (nazofaringeālajās iztriepēs, asins plazmā, perifēro asiņu mononukleārajās šūnās, fēcēs, urīnā). Novērota vīrusa slodzes atšķirība dažādajos bioloģiskā materiāla paraugos, kā arī atšķirība starp dzimumiem, taču tā nav statistiski ticama. Augstākās vīrusa slodzes detektē iztriepju un fēču paraugos, ar statistiski nozīmīgi augstākām slodzēm fēču paraugos (p=0,0017), salīdzinot ar iztriepēm. No 10 pacientu atkārtoti ievāktajiem paraugiem redzams, ka vairumā gadījumu vīrusa slodze iztriepju paraugos pēc nedēļas krītas, taču fēču paraugos saglabājas augsta vai pat paaugstinās. Dažiem pacientiem SARS-CoV-2 detektē vienlaicīgi vairākos bioloģiskā materiāla paraugos.
Ir noteikta elpceļu baktēriju un persistentu/hronisku vīrusu infekciju (7 baktēriju un 12 vīrusu) klātbūtne COVID-19 slimniekiem, lietojot multipleksētu reālā laika PĶR. Vairāk nekā trešdaļai pacientu konstatēta kāda no pārbaudītajām blakusinfekcijām, kam varētu būt saistība ar slimības klīnisko gaitu.
Ir veikt aptauju, lai noskaidrotu COVID-19 saistību ar hronisko nogurumu un otrādi – vai ME/CFS pacientus var uzskatīt par COVID-19 riska grupu. Secināts, ka ME/CFS pacienti nav uzskatāma par augstu COVID-19 riska grupu, taču pati COVID-19 slimība pacientiem izraisa ilgstošus ME/CFS līdzīgus simptomus.
Projekta aktualitātes
Publikācijas
- Sokolovska L., Sultanova A., Cistjakovs M., Murovska M. COVID-19: The third wave of coronavirus infection outbreak. J Transl Sci, 2020, 7: 1-5, doi: 10.15761/JTS.1000389
- Helena Vasconcelos MH, Alcaro S, Arechavala-Gomeza V, Baumbach J, Borges F, Brevini TAL, De Las Rivas J, Devaux Y, Hozak P, Keinänen-Toivola MM, Lattanzi G, Mohr T, Murovska M, Prusty BK, Quinlan RA, Pérez-Sala D, Scheibenbogen C, Schmidt HHHW, Silveira I, Tieri P, Tolios A, Riganti C. Joining European scientific forces now to face pandemics. Trends in Microbiology, Article in press, Month 2020, Vol. xx, No. xx; https://doi.org/10.1016/j.tim.2020.10.008
Par projektu medijos
LTV.lv raidījuma "Личное дело" sižets "COVID vs GRIPP". LSM.lv (26.10.2020.)
LTV.lv raidījuma "Aizliegtais paņēmiens" operācija: "Vakcīna pret Covid" (05.10.2020.)
LSM.lv ziņa "RSU Covid-19 pētījumos trūkst pacientu iesaistes; ārkārtas situācijas laikā fiksē vairāk depresiju" (29.09.2020.)
LTV.lv sižets "RSU virusologi pēta "Latviešu COVID"". Lsm.lv (20.09.2020.)
LSM ziņu sižets "RSU virusologi pēta "Latviešu Covid"". Lsm.lv (10.09.2020.)
Anotācija: Rīgas Stradiņa universitātes virusologi šonedēļ sāka pētīt Latvijas koronavīrusa pacientu bioloģisko materiālu. Tas ļaus atbildēt gan uz jautājumu par vīrusa smagumu, antivielām un iespēju saslimt atkārtoti, gan, iespējams, izdosies atklāt, kāpēc Latvijā ar vīrusu slimo mazāk nekā kaimiņvalstīs. Pagaidām zinātnieki pieļauj gan saistību ar padomju gados saņemto tuberkulozes vakcīnu, gan likumpaklausību. Turpina Aija Kinca.Grupas komanda


- DP4 – Pediatrijas grupa
Darba grupas nosaukums: Covid-19 seroprevalences izpēte bērniem ar hroniskām slimībām
Ētikas komitejas atļauja pētījuma veikšanai: Pētījumam piešķirta Rīgas Stradiņa universitātes Pētījumu ētikas komitejas atļauja ar Nr. 6-1/08/8 (23.07.2020.)
Pētniecība hroniski slimo bērnu kohortās noritēja sadarbībā ar projektu VPP-COVID-2020/1-0011 COVID-19 epidēmijas ietekme uz veselības aprūpes sistēmu un sabiedrības veselību Latvijā; veselības nozares gatavības nākotnes epidēmijām stiprināšana, kurā tiek pētīta Covid-19 tiešā un netiešā ietekme uz hroniski slimo bērnu dzīves kvalitāti, izmantojot validētas aptaujas anketas, iegūstot kvantitatīvos datus, kā arī daļēji strukturētās intervijas, iegūstot kvalitatīvos datus.
Grupas vadītāja: prof. Dace Gardovska
Grupas uzdevums: imūnās atbildes izvērtēšana pret SARS-CoV-2 bērniem ar hroniskām slimībām.
Projekta sasniegumi
Bērni ir pārsteidzoši nepietiekami pārstāvēti Covid-19 pētījumos, jo viņiem bieži ir vieglāka saslimšana nekā pieaugušiem. Izmantojot pieeju, kas nav atkarīga no uz simptomiem balstītām indikācijām testēšanai, pētījumā noteikta imūnās atbildes reakciju dažādos seroloģiskos testos uz SARS CoV-2 infekciju bērnu kohortās ar izvēlētām hroniskām slimībām (bronhiālā astma – 103 pacientiem, diabēts – 108 pacientiem, cistiskā fibroze – 15 pacientiem, iekaisīgās zarnu slimības – 12 pacientiem). Tika lietotas dažādas seroloģiskās testēšanas metodes, iegūti un salīdzināti rezultāti – Anti-SARS-CoV-2, ELISA (IgA), ELISA (IgG), Anti-SARS-CoV-2 S, SARS-CoV-2 IgG (sCOVG), kuri liecina, ka hroniski slimo bērnu grupās SARS-CoV-2 seroprevalence ir zema (1,7 %). Pozitīvie paraugi tika konstatēti laikā, kad strauji pieauga saslimstība ar Covid-19 kopumā, sākot no 2020. gada oktobra, tāpēc ātra imūnās aizsardzības iegūšana dabīgās infekcijas rezultātā hroniski slimo bērnu grupā ir mazticama un neētiska. Rezultātu interpretācijā būtiska ir epidemioloģiskā informācija, klīniskās izpausmes, sūdzības un laboratoriskā atradne, tomēr liecības par inficēšanos ar Covid-19 ne vienmēr bērniem atrodamas, tāpēc seroloģiskie testi var palīdzēt identificēt vīrusa iedarbībai pakļauto bērnu grupas, novērtēt vīrusa ietekmi uz bērnu populāciju un pamatot infekcijas kontroles pasākumus. Svarīgi ir izvērtēt dažādu antivielu testu rezultātus konkrētam pacientam, jo strukturālu iemeslu dēļ, kāds no mērķa proteīniem var būt mazāk nosakāms ierobežotas ekspresijas vai molekulas telpiskās struktūras dēļ. Rezultāti parāda, ka atsevišķos gadījumos, kad pret N-nukleokapsīda proteīnu mērķētais kopējo antivielu tests ir negatīvs, S1-spike proteīnu dizainētie testi uzrāda pozitīvu rezultātu. Zemas prevalences populācijas skrīningam (kādi ir bērni), lai noteiktu seropozitivitāti, jālieto augsti specifiski antivielu testi un to kombinācijas. Minētā informācija ir īpaši svarīga gadījumos, kad slimnīcā nonāk bērni smagā stāvoklī ar aizdomām par multisistēmu iekaisuma sindromu (Multisystem inflammatory syndrome in children, MIS-C)). Multisistēmu iekaisuma sindroms bērniem (MIS-C) ir stāvoklis, kad iekaisuma process izraisa bojājumus dažādās ķermeņa daļās, ieskaitot sirdi, plaušas, nieres, smadzenes, ādu, acis vai kuņģa – zarnu traktu. Bērniem ar MIS-C var būt drudzis un dažādi simptomi, tai skaitā sāpes vēderā, vemšana, caureja, sāpes kaklā, izsitumi, asinsizplūdumi acīs vai pārmērīgs nogurums. Mēs vēl nezinām, kas izraisa MIS-C, tomēr to novēro nelielam skaitam bērnu arī Latvijā 2 – 4 nedēļas pēc vieglas vai asimptomātiski noritošas Covid-19 infekcijas, kas var būt nediagnosticēta, vai arī pēc kontakta ar kādu Covid-19 slimnieku, tāpēc antivielu noteikšana šajos gadījumos ir ļoti svarīga.
Plānotās publikācijas un prezentācijas
Tiek gatavotas divas starptautiski citējamas publikācijas, iesniegtas tēzes un pieteikta dalība ar diviem ziņojumiem starptautiskajā konferencē "Knowledge for Use in Practice" on medical and health care sciences RSU, 24.03.2021., kā arī tiek gatavota prezentācija 2021. gada 3. martā organizētajām RSU Zinātnieku brokastīm un sadarbībā ar BKUS – sabiedrības informēšanas materiāls.
Projekta publicitātes pasākumi
- Par pētījuma rezultātiem informēta Valsts imunizācijas padome, dots zinātniskais pamatojums prioritārās grupās vakcinācijai ietvert hroniski slimo bērnu vecākus, jo hroniski slimie bērni nav pasargāti no SARS CoV-2 infekcijas.
- Par pētījuma rezultātiem informēti BKUS Bērnu slimību klīnikas ārsti, zinātniski pamatota augstas piesardzības nepieciešamība hroniski slimu pacientu veselības stacionārajā un ambulatorajā aprūpē.
- Pētījuma ietvaros sagatavotas sadaļa vadlīnijām par Covid-19 bērniem.
Grupas komanda
Sadarbība
Pētniecība hroniski slimo bērnu kohortās noris sadarbībā ar projektu VPP-COVID-2020/1-0011 COVID-19 epidēmijas ietekme uz veselības aprūpes sistēmu un sabiedrības veselību Latvijā; veselības nozares gatavības nākotnes epidēmijām stiprināšana apakšprojektu SARS-CoV2 ietekme uz bērnu veselības aprūpes sistēmu Latvijā.
SWEET project: Better control in Pediatric and adolescent diabeteS: Working to crEate CEnTers of Reference (dalība seroprevalences nacionāliem datiem)
BKUS: pacientu iesaistē piedalījās asoc. prof. Iveta Dzīvīte-Krišāne, dr. Ieva Puķīte, dr. Ineta Grantiņa, dr. Elīna Aleksējeva, asins paraugu paņemšanu nodrošināja māsa Nadežda Mekša
Seroloģisko testēšanu veica E. Gulbja laboratorija. Konsultācijas sniedza dr. Didzis Gavars, dr. Jānis Stašulāns un dr. Justīne Staņa.
Latvijas Pediatru asociācija: prof. Ilze Grope
- DP5 – Bioķīmijas grupa
Grupas vadītāji: asoc. prof. Andrejs Šķesters un Dr. med. Jeļena Eglīte
Grupas uzdevumi: selēna, selēnproteīna un oksidatīvā stresa marķieru noteikšana; fibrozes un apoptozes marķieru noteikšana akūtiem Covid-19 pacientiem un pēc pārslimošanas.
Projekta sasniegumi
- Ņemot vērā, ka traucējumi antioksidatīvās sistēmas darbībā var ietekmēt atveseļošanās procesu, pētījumā tika noteikts oksidatīvā stresa līmenis un selēna un selēnproteīna (abi ietilpst antioksidatīvās sistēmas komponentu sastāvā) līmenis 80 pacientiem, kas trīs līdz sešu mēnešu periodā izslimojuši Covid-19. Rezultāti parādīja, ka Covid-19 pārslimojušajiem cilvēkiem selēna un selēnproteīna saturs asins plazmā bija līdzīgs Eiropā pieņemto standartu līmenim, savukārt rādītāji, kas raksturo oksidatīvo stresu (malondialdehīds un hidroksinonenāls), bija vidēji divas vai trīs reizes augstāki nekā normas rādītāji.
Selēna saturs akūti slimo pacientu asinīs ir ievērojami zemāks (69,7 µg/L) par pieņemtās normas (80–120µg/L) zemāko robežu.
Pārslimojušo cilvēku asinīs selēna koncentrācija tuva normai, vasaras un rudens periodā nedaudz augstāka salīdzinājumā ar pavasarī un vasaras sākumā pārslimojušajiem, kas attiecīgi 84,6 µg/L pret 88,2 µg/L.
Līdzīgi rezultāti iegūti, nosakot selēna proteīnu P – selēna transportproteīns, kas līdz ar selēnu piedalās organisma RedOx homeostāzes (stresa) regulācijā. Akūtajiem slimniekiem – 4,48 µg/L, pārslimojušajiem I posmā – 5,54 µg/L un II posmā – 6,80 µg/L.
Covid-19 slimības laikā ļoti svarīgs rādītājs ir oksidatīvā stresa līmenis (jeb RedOx homeostāze) organismā. Stresa raksturošanai izmantoti divi marķieri: malona dialdehīdu (MDA) un 4-hidroksilnonenālu (4-HNE Adduct) tā sasaistē ar kādu no aminoskābju atlikumiem (tas ļauj maskēt HNE-molekulu un “apmānīt” šūnas receptorus ļaujot šim agresīvajam un kancerogēnajam gala produktam nokļūt atpakaļ šūnā).
Pārslimojušo cilvēku asinīs I posmā konstatēts MDA 3,1 µM/L, II – 2,7 µM/L. Šādas MDA koncentrācijas trīs reizes augstākas par normu. Attiecībā pret 4-HNE aduktiem – I posmā 3,37, II posmā 3,89. Rezultāti liek domāt par ievērojamu hronisku oksidatīvo stresu, ko, iespējams, izraisa gan postvīrusinfekcijas stāvoklis, gan aizvien vēl notiekošie iekaisuma procesi, kā arī psihoemocionālais stāvoklis un virkne citu patoloģisko izmaiņu pacienta organismā. - Plaušu bojājums ir viens no biežākiem orgānu bojājumiem Covid-19 slimības laikā. Bet slimības laikā var novērot arī citu orgānu darbības traucējumus un bojājumus. Viens no orgāniem, kas var būr skarts Covid-19 pacientiem, ir aknas. Gan citu valstu pētījumos, gan mūsu projekta rezultātā, tika atklāts, ka aknu rādītāju palielināšanos virs normas novēro vidēji 35–45 % Covid-19 pacientu, turklāt, daļai pacientu (3 %) bija akūts aknu bojājums, ko atspoguļoja aknu rādītāju pieaugums virs normas vairākās reizēs. Lai padziļināti izvērtētu procesus aknās un plaušās ar seruma marķieriem, Covid-19 pacientiem tika noteikti fibrozes un apoptozes rādītāji (hialuronskābe, metālproteināze 8 (MMP-8), citokeratīns 18 (CK18)). Rezultāti parādīja, ka lielai daļai pacientu šie rādītāji ir paaugstināti, iestājoties stacionārā, kas norāda uz pastiprinātu saistaudu veidošanās un aknu šūnu bojāeju agrīnā slimības fāzē. Iegūti dati ir saistīti ar Covid-19 slimības norisi.
Grupas komanda
- Ņemot vērā, ka traucējumi antioksidatīvās sistēmas darbībā var ietekmēt atveseļošanās procesu, pētījumā tika noteikts oksidatīvā stresa līmenis un selēna un selēnproteīna (abi ietilpst antioksidatīvās sistēmas komponentu sastāvā) līmenis 80 pacientiem, kas trīs līdz sešu mēnešu periodā izslimojuši Covid-19. Rezultāti parādīja, ka Covid-19 pārslimojušajiem cilvēkiem selēna un selēnproteīna saturs asins plazmā bija līdzīgs Eiropā pieņemto standartu līmenim, savukārt rādītāji, kas raksturo oksidatīvo stresu (malondialdehīds un hidroksinonenāls), bija vidēji divas vai trīs reizes augstāki nekā normas rādītāji.
- DP6 – Imunoģenētikas grupa
Grupas vadītāja: Dr. med. Jeļena Eglīte
Grupas uzdevums: imūnatbildi regulējošo gēnu alēļu noteikšana.
Projekta sasniegumi
Viens no faktoriem, kuri ietekmē infekciju slimības izpausmi (no bezsimptomu norises līdz smagai ar nāves risku), ir paša cilvēka organisma gēni, kas regulē imūnatbildi. Pie šo gēnu grupas pieder tā saucamie HLA gēni (angl. val. – Human Leucocyte Antigen, HLA), kas ir daļa no galvenā audu saderības kompleksa gēniem. Šo gēnu īpatnība ir lielā uzbūves dažādība, kas izpaužas ar lielu alēļu skaitu cilvēku populācijā. Atbilstīgi uzdevumam tika veikta 120 Covid-19 pacientu HLA II klases gēnu noteikšana. Rezultātā tika identificētas četras biežāk sastopamas un trīs retāk sastopamas alēles pacientiem ar Covid-19 Latvijā. Ir noteikts alēļu efekts (riska vai aizsargefekts), aprēķinot slimības attīstības risku.
Turpinājumā tiks analizēta alēļu saistība ar iekaisuma rādītājiem un citiem parametriem, kas raksturo slimības norisi.
Grupas komanda
- DP7 – Radioloģijas grupa
Grupas vadītājs: asoc. prof. Ardis Platkājis
Grupas uzdevums: Covid-19 seku izvērtēšana ar dažādām radioloģiskām metodēm.
Projekta sasniegumi
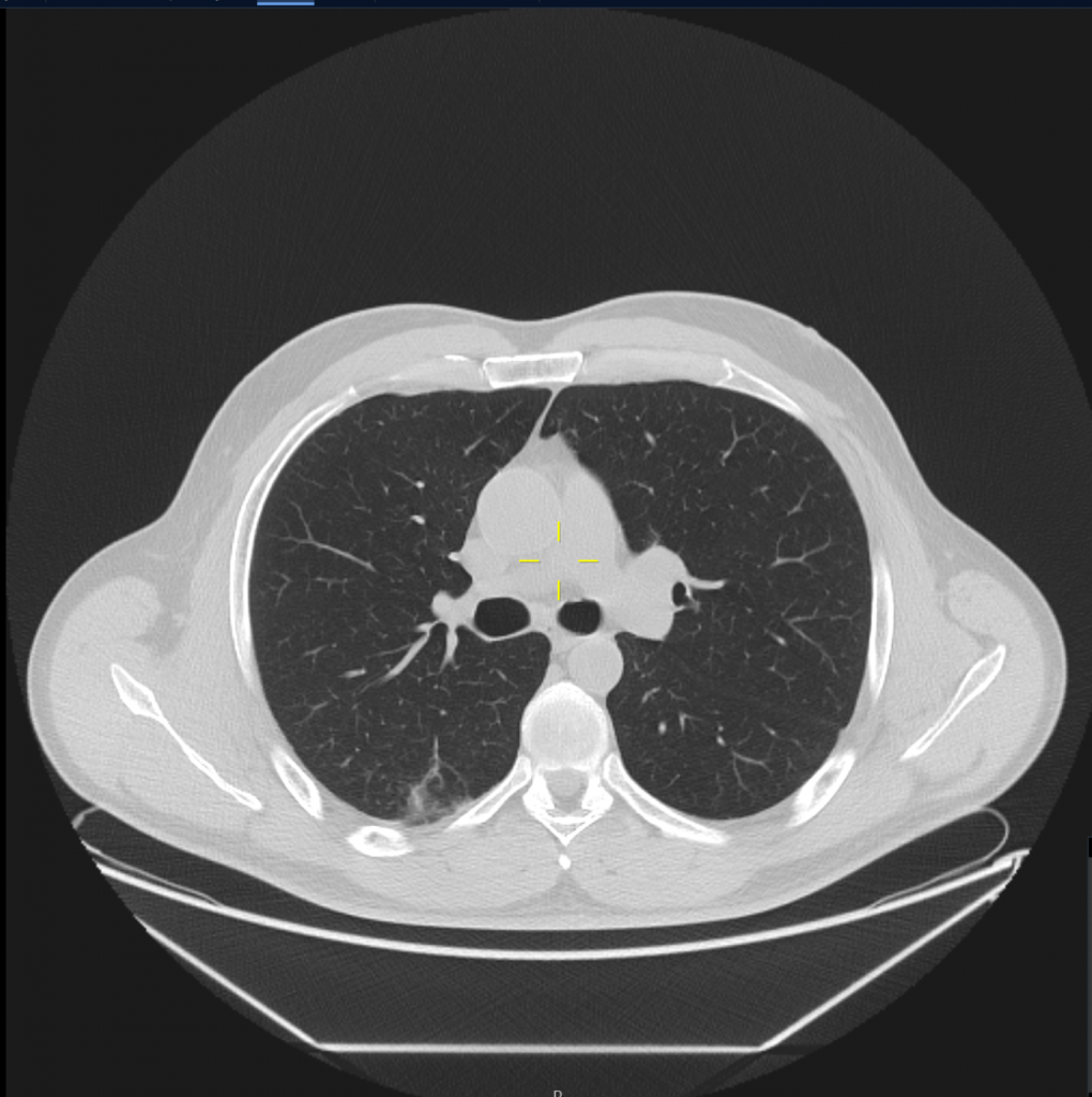
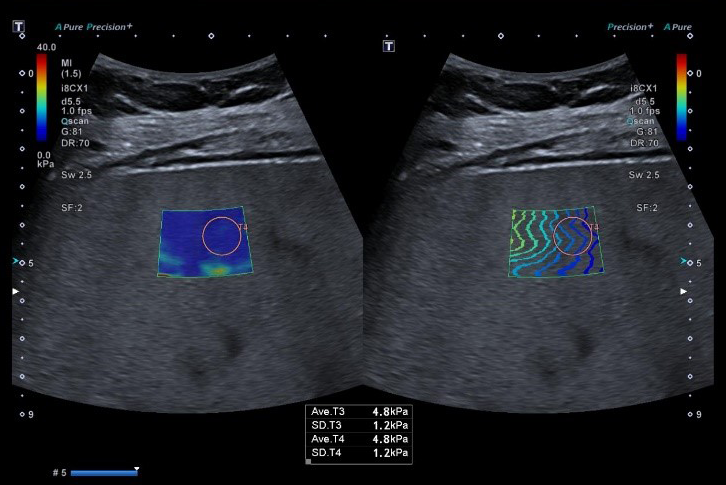
Ņemot vērā, ka SARS-CoV-2 skar daudzus pacientu orgānus, darba ietvaros pacientiem, kuri pārslimojuši COVID-19 infekciju tika veikti krūšu kurvja datortomogrāfijas bez kontrasta izmeklējumi ar 64 slāņu datortomogrāfu ar standarta izmeklēšanas protokolu, un augstas rezolūcijas izmeklējumu potenciāli bojāto plaušu audu rajonam, visiem pētījuma dalībniekiem veikti MR ar 3 Tesla stipru magnētiskā lauka aparātu vēdera dobuma orgāniem, lai diagnosticētu iespējamos bojājumus parenhimatozos orgānos, izmantojot standarta izmeklēšanas sekvences (FSE T2; FSE T1; SPGR in phase, out phase) un difūzijas uzsvērto attēlu (DWI), ar dažādām pieaugošām b vērtībām (50; 200; 800; 1000; 2000), kā arī šķietamā difūzijas koeficienta noteikšanu (ADC). Veikti US izmeklējumi vēdera dobuma orgāniem, limfmezgliem, lai diagnosticētu dažādus COVID-19 izraisītu aknu, nieru un liesas bojājumus, izmantojot standarta izmeklēšanas režīmus (B režīms, krāsu doplerogrāfija) un papildus veikta multiparametriska aknu izvērtēšana ar elastogrāfiju, izmantojot US šķērsviļņu metodi (2D SWE), vērtējot padziļināti aknu fibrozes un viskozitātes pazīmes kvantitatīvi, kā arī steatozes pakāpi. Radioloģiskā atradne tika korelēta ar laboratorisko atradi un klīniskiem datiem.
Projekta ietvaros atklāts, ka COVID-19 pārslimojušiem ir vērojamas izmaiņas aknu viskozitātē, elasticitātē, apstiprina pārciestu aknu bojājumu, kas konstatējams vēdera dobuma utrasonogrāfijas un multiparametrisku aknu izvērtēšanas metodē un būtu ieteicams kā skrīninga izmeklējums seku parādību izvērtēšanā ari turpmāk. Plaušu atrade lielākoties neuzrādīja specifiskas seku pazīmes, kas liecina par plaušu audu augstu atveseļošanās potenciālu pēc pārslimošanas. Citos parenhimatozos izvērtētajos orgānos, limfmezglos specifiskas seku pārmaiņas netika konstatētas.
Projekta ietvaros izstrādāta sadaļa vadlīnijās par prognostiski nozīmīgiem radioloģiskās atrades aspektiem.
Publicitātes pasākumi
- A. Šilovs, M. Breikšs, L. Jaunozoliņa, N. Zdanovskis, A. Platkājis. Covid-19 no radioloģijas skatupunkta. Latvijas ārsts; 2020. gada marts/aprīlis
- A. Platkājis, M. Radziņa, A. Šilovs, M. Breikšs, N. Zdanovskis, L. Jaunozoliņa, A. Upena-Roze. Tipiskās radioloģiskās izmaiņas Covid-19 pacientiem. RSU konference Covid un mēs; 2020. gada 26. septembris
- Par pētījuma norisi un rezultātiem informēti ārsti, radiologa asistenti, radiogrāferi un māsas starpdisciplinārā zinātniskā konferencē (05.12.2020.). Covid-19 izraisītās izmaiņas organismā, asoc. prof. M. Radziņa
- Par pētījuma norisi un rezultātiem informēti ārsti radiologi Latvijas Radiologu asociācijas sēdē (11.12.2020.) Covid-19 radioloģiskās atrades īpatnības, asoc.prof. M Radziņa
- Iesniegtas divas tēzes par pētījuma rezultātiem 2021. gada zinātniskos forumos:
- RSU zinātniskai konferencei 2021 (www.rsu.lv),
- LU Starptautiskai zinātniskai konferencei 2021 (www.lu.lv).
Sadarbība
- Rīgas 1. slimnīca
- Rīgas Austrumu klīniskā universitātes slimnīca
- P. Stradiņa klīniskā universitātes slimnīca
Pētījuma norisē palīdzēja Ieva Vanaga, Oksana Koļesova, Arta Mičena, Dāvis Sīmanis Putriņš.


Plaušu izmaiņu izvērtēšana datortomogrāfijā, kvantitatīva plaušu apjoma novērtēšana


Aknu multiparametriska kvantitatīva izvērtēšana ar ultrasonogrāfijas metodi
Grupas komanda
- DP8 – LU darba grupa
Grupas vadītāja: prof. Mārcis Leja, Latvijas Universitāte
Grupas uzdevumi: klīniskā pētījuma veikšana un izelpas gaisa sastāva analīze sadarbībā ar PVO Solidarity.
Projekta sasniegumi
Izelpas gaisa sensoru tehnoloģiju pētījumā Latvijas Universitātes Klīniskās un profilaktiskās medicīnas institūta (LU KPMI) speciālistu grupa sadarbībā ar Rīgas Austrumu klīniskās universitātes slimnīcas (RAKUS) un uzņēmuma JLM Innovation GmbH speciālistiem ir izstrādājusi sensoru tehnoloģiju, ar kuras palīdzību var sekot līdzi dažādu ķīmisko vielu pārmaiņām izelpas gaisā pacientiem, kuri pieslēgti plaušu mākslīgās ventilācijas iekārtai. Pētnieki uzskata, ka izstrādātā metode varētu ļaut pacientiem ar smagu COVID-19 saslimšanu prognozēt slimības attīstības gaitu, kas palīdzētu ārstiem pielāgot terapiju. Ir veikti izelpas gaisa sensoru mērījumi pacientiem, kuri pievienoti plaušu mākslīgās ventilācijas iekārtai. Notiek iegūto datu analīze. Tehnoloģiju aprobācijas darbu paredzēts turpināt.

Jaunizstrādātais sensoru modulis, kas pielāgots lietošanai plaušu mākslīgās ventilācijas iekārtā.

Sensoru izvietojuma pārbaude plaušu mākslīgās ventilācijas iekārtā. Izvēlēta gaisa izvades pozīcija (attēla labajā pusē).
Solidarity klīniskajā pētījumā sagatavota un apstiprināta nepieciešamā dokumentācija pētījuma norisei. Notikusi pētnieku apmācība, iniciācijas vizīte un pre-skrīnēti COVID-19 pacienti. Pētījuma rezultāti ietekmēs starptautiskās vadlīnijas COVID-19 gaitas farmakoloģiskai ārstēšanai. Plānots, ka šis pētījums turpināsies arī 2021. gadā. Līdzdalība Solidarity pētījumā, LU KPMI sadarbojoties ar RAKUS un Paula Stradiņa Klīniskās universitātes slimnīcu (PSKUS), ir ne tikai valstiski stratēģiski svarīga, jo tā nodrošina praktisku sadarbību ar Pasaules Veselības Organizāciju (PVO), bet arī ļauj pētījumā iesaistītajam personālam regulāri celt savu kvalifikāciju, piedaloties apmācībās un sekojot līdzi pētījuma norisei starptautiski.
Projekta realizācija kopumā ļāvusi attīstīt un paplašināt starptautisko sadarbību; tas attiecināms gan uz Eiropas pētniecības centriem, gan arī industriju. Sagaidāms, ka projekta ietvaros pilnveidotā sadarbība ļaus pētnieku grupai iesaistīties turpmākos starptautiskos pētījumos. Būtiski arī stiprināta sadarbība Latvijas pētniecības organizāciju starpā, kā arī ar klīniskajām universitāšu slimnīcām.
Publicitātes pasākumi
Informācija par projektu un Valsts pētījumu programmu kopumā ziņota Veselība, demogrāfiskās izmaiņas un labklājība Eiropas Zinātnes un inovāciju ietvara (2014-2020) programmu komitejas sēdē, kas notika 17.09.2020. un bija veltīta specifiski COVID-19 pētniecības norisei Eiropas Savienības dalībvalstīs un asociētajās partnerības valstīs. Sēdē bija aicināti piedalīties visu dalībvalstu un asociēto valstu pārstāvji, kas ziņoja par pētniecību attiecīgajās valstīs.
Ziņas par 8. darba pakotni publicētas LU KPMI mājaslapā jaunumu sadaļā. Vienlaikus informācija izplatīta institūta sociālo tīklu kontos. Sagatavotās preses relīzes izsūtītas un pārpublicētas arī aslimnica.lv un lu.lv tīmekļa vietnēs.
Projekta publicitātes informācijas apkopojums
Grupas komanda
- Mārcis Leja, vadošais pētnieks
- Oļegs Šuba, pētnieks
- Pauls Aldiņš (†), vadošais eksperts
- Agija Svare, vecākā eksperte
- Monta Madelāne, vecākā eksperte
- Ilze Bērziņa, vecākā eksperte
- Velga Ķūse, vecākā eksperte
- Inga Krupnova, vecākā eksperte
- Ņikita Ivanovs, eksperts
- Signe Mežinska, vadošā pētniece
- Viktors Veliks, pētnieks
- Inese Veckagane, vecākā laborante
- DP9 – LBMC darba grupa
Grupas vadītāja: Dr. biol. Vita Rovīte, LBMC
Grupas uzdevumi: COVID-19 mediēto individuālu imūnšūnu transkriptoma izmaiņu identifikācija, lai identificētu mērķus uzlabotai infekcijas terapijai.
Projekta sasniegumi
Šā projekta ievaros Latvijas Biomedicīnas pētījumu un studiju centrā ieviesta pilnīgi jauna metode gan Latvijā, gan visas pasaules līmenī, kas balstās un vienas šūnas RNS sekvencēšanu. Tas veikts sadarbībā ar SIA MGI Tech Latvia, kas ir vienas no lielākajiem sekvencēšanas uzņēmumiem pasaulē BGI meitasuzņēmums Latvijā.

Šajā pētījuma aktivitātē mēs raksturojām izmaiņas transkripcijas profilos individuālās imūnšūnās COVID-19 infekcijas laikā un atklājām virkni iekaisuma procesu regulējošu faktoru izmaiņas COVID-19 pacientu asins šūnās, kuru turpmāko ietekmei nepieciešams detalizētāk analizēt, lai šos faktoru varētu izmantot kā slimības prognostiskas marķierus vai mērķus efektīvākai terapijai.
Publicitātes pasākumi
Šis pētījums minēts kā viens no VPP ietvaros veiktajiem pētījumiem populāriznātniskā rakstā žūrnālā Medicus Bonus "COVID-19 pētniecība Latvijā". Raksta pilnā versija
Grupas komanda
- Dr. biol. Vita Rovīte
- Bsc. biol. Helvijs Niedra
- Bsc. biol. Rihards Saksis
- Bsc. biol. Una Krūmiņa
- Evija Stankēviča, zinātniskā asistente
- Helēna Daiga Litvina, studējošā
- DP10 – LBMC darba grupa
Grupas vadītāja: Dr. biol. Aija Linē, LBMC
Grupas uzdevums: SARS-CoV-2 multiepitopu antivielu testa izstrāde.
Projekta sasniegumi
Ir izstrādāts jauna veida antivielu tests, kas dod iespēju vienlaicīgi noteikt antivielas pret 30 SARS-CoV-2 proteīnu fragmentiem. Ir notestēti >150 Covid-19 pacientu asins paraugi, un pašlaik tiek analizēti iegūtie rezultāti. Sagaidāms, ka tie sniegs jaunas zināšanas par anti-SARS-CoV-2 antivielu veidošanās dinamiku un heterogenitāti un antivielu līmeņa saistību ar slimības smaguma pakāpi.
Rezultāti tiks apkopti publikācijā (Plūme J, Galvanovskis A, Šmite S, Romanchikova N, Zayakin P, Linē A. Profiling of antibody response to multiple epitopes of SARS-CoV-2 (in preparation for Frontiers in Immunology)) un prezentēti LU 79. konferencē 2021. gada 26. februārī.
Grupas komanda
- Asoc. prof. Aija Linē
- Dr. Pāvels Zajakins
- Dr. Nadežda Romančikova
- Jānis Plūme, studējošais
- Artis Galvanovskis, studējošais
- Sindija Šmite, studējošā


- DP11 – Datu apstrādes grupa
Grupas vadītājs: asoc. prof. Aleksandrs Koļesovs
Grupas uzdevums: retrospektīvo un prospektīvo datu analīze.
Projekta sasniegumi
Ir veikta Covid-19 simptomu un to dinamikas izvērtēšana. Tika analizēti klīniskie un sociāli demogrāfiskie rādītāji. Ir identificēti imūnregulējošo gēnu alēļu efekti, kā arī novērtēta fibrozes, apoptozes un citu iegūto datu saistība ar Covid-19 norisi. Tika meklēti faktori, kuri ļauj paredzēt nāves iznākumu.
Balstoties uz tā saucamo “ceļa” analīzi (path analysis), tika atklāts, ka nelabvēlīgie faktori nāves iznākuma prognozē ir augstāks leikocītu skaits un zemāki skābekļa daudzuma asinīs rādītāji, iestājoties slimnīcā, kā arī hroniskās nieru slimības esamība. Pacientu vecums neuzrādīja tiešo efektu nāves iznākuma prognozē, bet tas ir būtisks faktors hronisko nieru (un citu orgānu) slimību attīstībā un plaušu funkcionēšanā. Tādējādi ir pamats runāt par vecuma pastarpināto efektu uz iznākumu. Dzimums un pacientu dzīvesvieta Latvijā nesaistījās ar iznākumu. Vecuma un hronisko slimību loma nāves prognozē norāda uz nepieciešamību veikt preventīvos pasākumus Latvijas iedzīvotāju hronisko slimību kontrolē un ārstēšanā.
Darba grupa ir sagatavojusi datubāzi par 100 Covid-19 pacientu klīniskiem datiem Clinical characteristics of COVID-19 patients (Latvia, Spring 2020), Version 1.0, https://doi.org/10.25143/FK2/HNMLHH
Grupas komanda
Projekta uzdevumi
- Novērtēt COVID-19 slimības klīniskās izpausmes
- Noskaidrot SARS-CoV-2 vīrusa pārnešanas ceļus un vīrusspecifisku antivielu veidošanās dinamiku
- Noskaidrot elpceļu blakusinfekciju (baktēriju un vīrusu), selēna deficīta, oksidatīva stresa un dažu ģenētisko faktoru ietekmi uz COVID-19 slimības attīstību un norisi
- Noteikt COVID-19 sekas, veicot mērķtiecīgu iekšējo orgānu radioloģisko izmeklēšanu un asins un urīna izmeklēšanu
- Noteikt faktorus, kuri ļautu prognozēt letālo iznākumu
- Izstrādāt klīniskās vadlīnijas COVID-19 pacientu ārstēšanai
- Noteikt reakciju uz SARS-CoV-2 infekciju bērnu grupās ar hroniskām slimībām
- Izstrādāt multiepitopu antivielu testu un noteikt saistību starp antivielu reakciju un COVID-19 slimības smagumu
- Veikt vienas šūnas transkriptoma sekvencēšanu, lai atklātu iekaisuma procesu regulējošu faktoru izmaiņas COVID-19 pacientu asins šūnās
- Izstrādāt izelpas gaisa savienojumu noteikšanas testu SARS-CoV-2 infekcijas skrīningam
- Dalība Solidarity pētījumā, kuru ir ierosinājusi Pasaules Veselības organizācija
Projekta norise
2020. gada jūlijā un augustā tika iegūtas Ētikas komiteju atļaujas projekta pētījuma veikšanai un bija noslēgti sadarbības un ārpakalpojumu līgumi ar Rīgas Austrumu Klīniskās universitātes slimnīcu (RAKUS), P. Stradiņa Klīniskās universitātes slimnīcu (PSKUS), Bērnu Klīniskās universitātes slimnīcu (BKUS), Rīgas 1. slimnīcu, SIA Centrālā laboratorija un SIA E. Gulbja Laboratorija.
Ir novērtētas COVID-19 klīniskās izpausmes pacientiem, kuri bija hospitalizēti RAKUS stacionārā 2020. gada martā–jūnijā. Visbiežākie simptomi, kurus atzīmēja pacienti, iestājoties slimnīcā, bija paaugstināta ķermeņa temperatūra, klepus un nespēks. Ceturtā daļa pacientu bija minējuši dažādas pakāpēs elpas trūkumu. Citi simptomi – caureja, slikta dūša, vemšana vai apetītes zudums, ožas vai garšas zudums – tika novēroti samērā reti. Analizējot slimības simptomus pacientiem, kuri bija saslimuši rudenī, tika konstatēts, ka ožas un garšas traucējumi slimības sākuma fāzē parādās daudz biežāk nekā pacientiem, hospitalizētiem pavasara mēnešos.
Tika novērtēts, kuri rādītāji, pirmo 24 stundu laikā no iestāšanas brīža, labāk atspoguļo COVID-19 slimības smagumu. Ir atklāts, ka pacientiem ar smagāku slimības gaitu, iestājoties, ir augstāka ķermeņa temperatūra, zemāka asins skābekļa saturācija, zemāks eozinofīlu skaits, augstāki iekaisuma rādītāji (C-reaktīvais proteīns un eritrocītu grimšanas ātrums), augstāks nieru funkcijas rādītājs (kreatinīns), zemāka nieru filtrācija (GFĀ) un augstāki audu bojājuma marķieri (laktātdehidrogenāze un troponīns T) nekā pacientiem ar vieglāku slimības gaitu.
Ir novērtēti faktori, kuri ļauj paredzēt letālo iznākumu. Nelabvēlīgie faktori letālā iznākuma prognozē ir augstāks leikocītu līmenis un zemāki skābekļa saturācijas rādītāji, iestājoties slimnīcā, kā arī hroniskās nieru slimības esamība. Pacientu vecums neuzrādīja tiešo efektu iznākuma prognozē, bet, ņemot vērā, ka vecums ir būtisks faktors hronisko nieru (un citu orgānu) slimību attīstībā, ir pamats runāt par vecuma netiešo efektu uz iznākumu. Dzimums un pacientu dzīvesvieta Latvijā neuzrādīja būtisku efektu.
Ir izpētīta vīrusspecifisko antivielu veidošanās dinamikā. Parādīts, ka IgA antivielas sāk parādīties laikā 8.–9. dienā, apmēram divas nedēļas pēc infekcijas sākuma IgA un IgG klases antivielas sasniedz vienādu līmeni, vēlāk IgA līmenis mazinās, bet IgG rāda tendenci samazināties jau pēc diviem mēnešiem. Daļai pacientu (~10 %) antivielas neizstrādājas vispār. Ir izdarīti secinājumi par antivielu testu pielietošanu SARS-CoV-2 infekcijas skrīningam.
Ir noteikta SARS-CoV-2 klātbūtnes un slodze dažādos COVID-19 pacientu bioloģiskajos materiālos (iztriepēs, serumā PBMC, fēcēs, urīnā). Vīrusa slodze dažādos bioloģiskā materiāla paraugos atšķiras starp dzimumiem, lai gan atšķirība nav statistiski ticama. Augstākās vīrusa slodzes detektē iztriepju un fēču paraugos ar statistiski nozīmīgi augstākām slodzēm fēču paraugos (p=0,0017) salīdzinājumā ar iztriepēm. No 10 pacientu atkārtoti ievāktajiem paraugiem redzams, ka vairumā gadījumu vīrusa slodze iztriepju paraugos pēc nedēļas krītas, taču fēču paraugos saglabājas augsta vai pat paaugstinās. Dažiem pacientiem SARS-CoV-2 atrod vairākos bioloģiskā materiāla paraugos.
Ir noteikta elpceļu baktēriju un persistentu/hronisku vīrusu infekciju – 7 baktēriju un 12 vīrusu klātbūtne COVID-19 slimniekiem, lietojot multipleksētu reālā-laika PĶR. Vairāk nekā trešdaļai pacientu konstatēta kāda no pārbaudītajām blakusinfekcijām, kam varētu būt saistība ar slimības klīnisko gaitu.
Lai novērtētu ģenētiskus faktorus, kuri ietekmē inficēšanos ar SARS-CoV-2, tika veikta imūnatbildi regulējošo gēnu analīze. Ir identificētas četras biežāk sastopamas un trīs retāk sastopamas HLA II klases gēnu alēles Latvijas pacientiem ar COVID-19, kuras, iespējams, ir atbildīgas par augstāku risku saslimt vai, pretēji, nesaslimt ar COVID-19.
Bērni ir nepietiekami pārstāvēti COVID-19 pētījumos, jo viņiem bieži ir vieglāka saslimšana nekā pieaugušiem. Izmantojot pieeju, kas nav atkarīga no uz simptomiem balstītām indikācijām testēšanai, projektā bija noteikta imūnās atbildes reakcija dažādos seroloģiskos testos uz SARS-CoV-2 infekciju bērnu grupās ar izvēlētām hroniskām slimībām (bronhiālā astma – 103 pacientiem, diabēts – 108 pacientiem, cistiskā fibroze – 15 pacientiem, iekaisīgās zarnu slimības – 12 pacientiem). Pētījuma rezultāti liecina, ka hroniski slimo bērnu grupās antivielu klātbūtne asinīs (SARS-CoV-2 seroprevalence) ir zema (1,7 %).
Sākot no septembra, projekta ietvaros aktīvi norisinājās COVID-19 slimības seku izvērtēšana. Tika veikta 58 cilvēku padziļināta medicīniskā izmeklēšana. Dalībnieku vidū bija gan pacienti, kas ārstējušies stacionārā ar vidēji smagu un smagu slimības norisi, gan pacienti ar vieglu COVID-19 norisi, kas akūtajā periodā ārstējušies ambulatori, ģimenes ārsta uzraudzībā. Pētījums parādīja, ka lielākajai daļai cilvēku trīs un vairāk mēnešus pēc akūtā slimības perioda saglabājas sūdzības, kas raksturo iespējamus elpošanās, nervu, sirds un asinsvadu sistēmas darbības traucējumus. Izmeklējumi atklāja izmaiņas aknu bioķīmiskajos marķieros, kardiomarķieros un imunoloģiskos rādītājos, kā arī augstu oksidatīvā stresa līmeni. Daļai pacientu saglabājas izmaiņas plaušās un pastāv novirzes aknu parametros, kuras potenciāli ir saistāmas ar COVID-19 infekciju.
Ir veikta aptauja, lai noskaidrotu COVID-19 saistību ar mialģiskā encefalomielīta/hroniska noguruma sindromu (ME/CFS) un otrādi – vai ME/CFS pacientus var uzskatīt par COVID-19 riska grupu. Secināts, ka ME/CFS pacienti nav augsta COVID-19 riska grupā, taču pati COVID-19 slimība pacientiem izraisa ME/CFS līdzīgus simptomus.
Projekta ietvaros ir izstrādātas COVID-19 diagnostiskas un ārstēšanas vadlīnijas. Vadlīnijas ir sagatavotas saskaņā ar zinātnisko informāciju un PVO, Eiropas Savienības un ASV ieteikumiem. Vadlīniju autoru grupā ir vairāk nekā divdesmit dažādu jomu Latvijas speciālisti. Galvenokārt tie ir infektologi, bet ir arī pneimonologi, pediatri, radiologi, intensīvās terapijas un citu jomu speciālisti. Vadlīniju izstrādē ir iesaistīti arī konsultanti un recenzenti. Vadlīniju gala versija iekļaus apmēram 20 nodaļas par COVID-19 epidemioloģiju, patoģenēzi, klīniskajām izpausmēm, komplikācijām, diagnostiku, ārstēšanu un profilaksi. Vadlīnijas ir paredzētas visiem ārstiem, kuri ir iesaistīti COVID-19 pacientu aprūpē (diagnostika, statistika, ārstēšana utt.). Mērķa grupa ir arī medicīnas studenti un ārsti-rezidenti.
Projektā bija uzsākts darbs vairākos virzienos ar mērķi uzlabot COVID-19 slimības diagnostiku, izmantojot jaunās tehnoloģijas. Latvijas Biomedicīnas pētījumu un studiju centrā (BMC) tika ieviesta un optimizēta Latvijā pilnīgi jauna metode vienas šūnas transkriptoma sekvencēšanai. Pētījuma rezultātā tika atklātas virkne iekaisuma procesu regulējošu faktoru izmaiņu COVID-19 pacientu asins šūnās, kuru turpmāko ietekmi nepieciešams detalizētāk analizēt, lai šos faktorus varētu izmantot kā slimības norises prognozes marķierus vai mērķus efektīvākai terapijai.
BMC ir izstrādāta vēl viena tehnoloģija – jauna veida antivielu tests, kas dod iespēju vienlaicīgi noteikt antivielas pret 30 SARS-CoV-2 proteīnu fragmentiem. Pašlaik tas tiek izmantots, lai analizētu antivielu profilu COVID-19 pacientu serumā un noskaidrotu tā saistību ar slimības smaguma pakāpi.
Latvijas Universitātes Klīniskās un profilaktiskās medicīnas institūta speciālistu grupa sadarbībā ar Rīgas Austrumu klīniskās universitātes slimnīcas un uzņēmuma JLM Innovation GmbH speciālistiem ir izstrādājusi sensoru tehnoloģiju, ar kuras palīdzību var sekot līdzi dažādu ķīmisko vielu pārmaiņām izelpas gaisā pacientiem, kuri pieslēgti plaušu mākslīgās ventilācijas iekārtai. Pētnieki uzskata, ka izstrādātā metode varētu ļaut pacientiem ar smagu COVID-19 saslimšanu prognozēt slimības attīstības gaitu, kas palīdzētu ārstiem pielāgot terapiju. Ir veikti izelpas gaisa sensoru mērījumi pirmajiem pacientiem.
Līdzdalība Solidarity pētījumā, sadarbojoties ar Rīgas Austrumu klīniskās universitātes slimnīcu un Paula Stradiņa Klīniskās universitātes slimnīcu, ir ne tikai valstiski stratēģiski svarīga, jo tā demonstrē sadarbību ar Pasaules Veselības Organizāciju (PVO), bet arī ļauj pētījumā iesaistītajam personālam regulāri celt savu kvalifikāciju, piedaloties apmācībās un sekojot līdzi pētījuma norisei starptautiski. Solidarity pētījumā ir notikusi iniciācijas vizīte un pre-skrīnēti COVID-19 pacienti. Pētījuma rezultāti ietekmēs starptautiskās vadlīnijas COVID-19 gaitas farmakoloģiskai ārstēšanai. Plānots, ka šis pētījums turpināsies arī 2021. gadā.
Projekta aktualitātes
Ar zinātni pret Covid-19 / klīniskās, bioķīmiskās, imūnģenētiskās paradigmas (02.06.2021.)
Paneļdiskusija "Zinātne pret Covid-19" (10.02.2021.)
Raksts RSU mājaslapā Paneļdiskusijā "Zinātne pret Covid-19" spriež par Latvijas zinātnieku pētījumu rezultātiem un to izmantojumu (ar projektu vadītāju prezentācijām un paneļdiskusijas ierakstu)
LTV "Panorāma" sižets: Latvijā pieejamas rekomendācijas par Covid-19 (06.02.2021.)
Portāla lsm.lv raksts "Izstrādātas rekomendācijas ārstiem par Covid-19" (06.02.2021.)
Ludmila Vīksna TV-24 raidījumā “Baltās sarunas”, saruna ar Anitu Daukšti (25.12.2020.)
1. daļa
2. daļa
RSU profesore Ludmila Vīksna: ”Covid -19 klīniskā norise un izaicinājumi Latvijā. Uzstāšanās. Sanofi atbalstīta konference “Covid -19 situācija un iespējamie risinājumi. Cukura diabēta efektīva terapija” (18.09.2020.)
Profesores Ludmilas Vīksnas prezentācija konferencē Covid un mēs (26.09.2020.)
Konferences ārstiem Covid un mēs ieraksts (26.09.2020.)
Latvijas kosmētiķu un Kosmetologu asociācijas seminārs “Kas jāzina par speciālista un klienta drošību” Prof. Ludmilas Vīksnas lekcija “Aktuāla un uzticama informācija par Covid -19. Infekcijas slimību profilakses pasākumi kosmētiķa praksē” (02.10.2020.)
Projekta rezultāti
Projektā izstrādātas
"Rekomendācijas par SARS-CoV-2 infekcijas un COVID-19 epidemioloģiju, diagnostiku, klīniskajām norisēm un komplikācijām"
Par projektu medijos
Infektoloģe atklāj sajūtas pēc Covid-19 potēm. Intervija ar profesori Ludmilu Vīksnu TV kanāla 24 raidījumā “Uz līnijas” (22.01.2021.)
Ludmila Vīksna "Rīgas Austrumu slimnīcā mediķi saņem pirmās Covid-19 vakcīnas" | Preses relīzes | LETA (28.12. 2020.)
TV3 ziņas "900 sekundes" | Facebook. Ludmila Vīksna “Sabiedrība pati stimulējusi Covid-19” (04.12.2020.)
"Kas mūs sagaida pēc Covid-19?". Portāls "Apollo": dokumentālā filma "Pandēmijas bērni" (04.12.2020.)
“Kā uzveicam Covid-19” Māras Lībekas intervija ar profesori Ludmilu Vīksnu. Laikraksts “Brīvā Latvija” (02.12.2020.)
Infektoloģe Baiba Rozentāle: Jāmāk prognozēt vīrusa attīstību. Mammamuntetiem.lv (06.11.2020.)
Latvijas mediķi konferencē apmainās ar aktuālākajām zināšanām par Covid-19. Lsm.lv (26.09.2020.)
″Pētīsim arī blakusslimības″. Infektoloģe Ludmila Vīksna par Covid-19 un iedzīvotāju gēnu pētījumiem. Apollo.tvnet.lv (14.08.2020.)
Ludmila Vīksna Latviju ved cauri sabangotajiem Covid ūdeņiem. Lsm.lv (12.08.2020.)
5 miljoni pandēmijas pētīšanai: [par vīrusslimības Covid-19 izplatības, ierobežošanas un seku pārvarēšanas pētīšanai piešķirto naudu no valsts budžeta līdzekļiem neparedzētiem gadījumiem] / Gunita Nagle; tekstā stāsta Latvijas Republikas Izglītības un zinātnes ministrijas Augstākās izglītības un zinātnes departamenta vadītājs Dmitrijs Stepanovs, infektologs Uga Dumpis, Rīgas Stradiņa universitātes profesore, infektoloģe Ludmila Vīksna [u. c.]. Ir, # 30 (2020, 30. jūlijs/5. augusts), 12.-13. lpp.
Vīruss nekur nepazudīs • IR.lv (30.07.2020.)
Zinātnieki: Covid-19 pētījumu programmā izstrādātie risinājumi noderēs ilgtermiņā. Lsm.lv (20.07.2020.)
Visaptveroši pēta Covid-19 sekas. Diena.lv (16.07.2020.)
RSU zinātnieki septiņos projektos pētīs Covid-19 seku mazināšanu. Delfi.lv (14.07.2020.)
RSU zinātnieki īstenos pētījumus Covid-19 seku mazināšanai. La.lv (14.07.2020.)
Zinātniskās publikācijas
- Viksna L, Kolesova O, Kolesovs A, Vanaga I, Arutjunana S, Laivacuma S, Storozenko J, Tolmane I, Berzina I, Rozentale B. Clinical characteristics of COVID-19 patients in Latvia under low incidence in Spring 2020. MedRxiv preprint doi: 10.1101/2020.12.22.20239392
- Sokolovska L, Sultanova A, Cistjakovs M, Murovska M. COVID-19: The third wave of coronavirus infection outbreak. J Transl Sci, 2020, 7: 1-5, doi: 10.15761/JTS.1000389
- Helena Vasconcelos MH, Alcaro S, Arechavala-Gomeza V, Baumbach J, Borges F, Brevini TAL, De Las Rivas J, Devaux Y, Hozak P, Keinänen-Toivola MM, Lattanzi G, Mohr T, Murovska M, Prusty BK, Quinlan RA, Pérez-Sala D, Scheibenbogen C, Schmidt HHHW, Silveira I, Tieri P, Tolios A, Riganti C. Joining European scientific forces now to face pandemics. Trends in Microbiology, Article in press, Month 2020, Vol. xx, No. xx

























